clinical information and visual search patterns as factors which influence detection of abnormalities in radiographs: a review of literature
Sean Naughton UCD School of Medicine and Medical Science, University College Dublin, Belfield, Dublin 4, Ireland
Dr. Louise Rainford UCD School of Medicine and Medical Science, University College Dublin, Belfield, Dublin 4, Ireland
ABSTRACT
Purpose: The search for abnormalities in radiographic images is difficult due to the complex anatomical structures represented, which often mask or decrease the conspicuousness of lesions of interest. This review article aims to consolidate the existing literature relating to two factors which influence detection of abnormalities, the provision of clinical information and the visual search pattern employed.
Method: A MEDLINE search was carried out and extended by a search of reference lists. Articles were selected which examined the effect of clinical information and visual search patterns on detection of abnormalities on radiographs.
Results: The majority of studies related the effect of clinical information to an increase in detection of abnormalities with the presence of clinical indications, in addition to a number that showed a concomitant increase in false positives. A minority of studies claim no significant increase in detection. Research findings arising from visual search pattern studies have categorized error as errors of search, recognition and decision making. Reduced fixation time on abnormalities, and the presence of multiple abnormalities are predictive of detection failure. To a lesser degree of expertise is also predictive of detection failure due to differences in search strategies employed.
Conclusions: The presence of clinical information increases the detection level of abnormalities during radiological image interpretation, although this may be accompanied by an increase in false positives. Specific search pattern characteristics have been shown to increase abnormality detection success. These results provide a framework for an increased detection of abnormalities in radiographic images.
Article
Introduction
Radiographic images contain a range of perceptual ambiguities that contribute to a statistically significant error rate in diagnosis [1]. Small pulmonary nodules are often missed because of poor lesion conspicuity caused by superimposition of hilar and mediastinal structures, blood vessels, clavicles, or ribs. In patients diagnosed with lung cancer, it is not unusual to discover significant abnormalities in previous radiographs when viewed in retrospect [2]. These rather worrying findings illustrate that the reading of radiographic images is complex. This review aims to consolidate the existing literature that examines two factors that influence detection of radiographic abnormalities, namely, the provision of clinical information, and the visual search pattern employed
the influence of clinical information
Detection of abnormalities is rooted in the cognitive schema that the observer brings to bear on the image data collected by the retina. The two major components of this schema are knowledge of how anatomy and pathology map onto radiographic images and expectations about the image to be seen [3]. Available clinical information can conceivably alter expectations about the image about to be seen and it is here that the potential lies for this information to alter detection.
Benefits of providing clinical information
A number of studies claim an improvement in observer performance when tests are read with clinical information. Schreiber [4] and Potchen et al. [5] both concluded that including a clinical history increased the rate of detection of pathology where present, i.e. true positives. Rickett et al. [6] observed a number of emergency department doctors and radiologists, showing them the same set of images six months apart, once with a clinical history and once without. Both groups of observers improved their performance with clinical details. Fippona et al. [7] looked at the detection of focal liver lesions on CT and found that knowledge of the clinical history significantly improved the accuracy (p = 0.02) of the detection of lesions with a diameter of less than 1cm. This was however accompanied by an increase in false positive reporting of malignancy. Ehara et al. [8] reported similar findings when assessing the importance of clinical information for the detection of non-displaced paediatric wrist fractures. The detection of the fractures was significantly improved with clinical information. The main reason for this was an increase in the true positive fraction. Houssami et al. [9] examined the influence of knowledge of clinical information on the accuracy of mammography in women referred for investigation of breast symptoms. ROC (receiver operating characteristic, a measure of accuracy) curves for both radiologists in the study found that reporting mammography with knowledge of clinical information resulted in a small (about 2%) but significant improvement in overall test accuracy.
Table 1: Effect of Suggestive History (Hx) on the Detection of Radiograph Abnormalities Table adapted from Doubilet et al. (10) (Hx = History)
A number of mechanisms have been proposed to account for the increased detection rate in observer performance tests in laboratory settings, e.g. participants interpreting the image findings with a different degree of care, or anticipating a higher than normal rate of abnormal images. Doubilet and Herman [10] therefore, examined previous claims of improved performance within the clinical environment. Test films were added to the normal workload of resident radiologists on night-time coverage of the Emergency Department, who reported the images blind. Each image was read eight separate times, four times with an accompanying history suggestive of the pathology which they contained, and four times with an unrelated clinical history. Radiology readings were reviewed, and altered as appropriate by a consultant radiologist in the morning. The study concluded that providing a suggestive clinical history increased the rate of true-positive readings in a realistic clinical setting. Again however, there was a concomitant increase in false positive reporting in this study. The increase in sensitivity, therefore, comes at the expense of lowering the specificity of the test (Table 1).
neutral or negative effects of providing clinical information
A number of studies have reported that providing a clinical history or prompting the reader to search for certain pathologies has no effect. Cooperstein et al. [11] examined the effect of clinical history and of prompting the reader to search for interstitial disease, nodules or pneumothorax on interpretation of chest radiographs in a digital reporting environment. No significant differences in the detection of abnormalities for any of the individual radiologists in the study, or for the group as a whole were found. Good et al. [12] sought to generalise these findings to a realistic clinical environment. Test cases, with and without clinical histories, were designed and incorporated into the daily workload of consultant radiologists who reported them blind.
Radiologist confidence ratings of the presence or absence of one or more of the following abnormalities: interstitial disease, nodule, and pneumothorax were recorded. Across all participants no statistically significant difference was found and the researchers concluded that knowledge of clinical history has no effect on detection.
An increase in false positive rates can potentially place an increased burden both on the healthcare system and the patient. Croswell et al. [3] investigated the effect of false positives in chest radiographs and CT examinations reviewed as a screening tool for lung cancer in smokers. They found that a person's cumulative probability of one or more false-positive CT examinations was 21% after one CT screening and 33% after two. The rates for chest radiographs were 9% and 15%, for one and two radiographs respectively. A total of 7% of participants with a false-positive low-dose CT examination and 4% with a false-positive chest radiography underwent a resulting invasive procedure.
the influence of visual search patterns
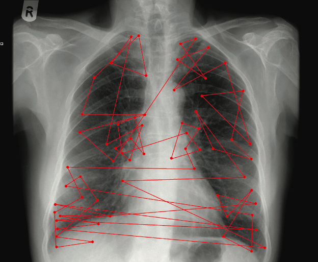
Figure 1: An example of fixations across a chest radiograph and the visual search pattern constructed by them. Image courtesy of the Ad- elaide and Meath Hospital, Dublin.
The field of view in humans extends over 180° but it is only the centre of this visual field that provides sharp detailed vision. Consequently, eyes move to bring interesting features into this centre. The pause over the point of interest is known as a foveal fixation. Fixations are characterised by their multiple (clustering) nature when observers dwell extensively on a location, as the eyes do not remain stationary for long before losing sensitivity [13]. Eye-tracking experiments assume that fixations represent the location of conscious attention of the viewer. The eye movements of an observer over an image can be tracked with remote, infrred pupil-corneal reflection cameras which group these fixations into search patterns (Figure 1). The use of visual search patterns provides an organisational framework for studying basic perceptual processes that can be applied to the understanding of abnormality detection. It is useful for classifying detection failures and has suggested methods for improving perceptual performance [14]. The following paragraphs outline two important aspects of visual search, namely, aspects leading to failure and where in the sequence they occur, and aspects leading to success by examining the visual search patterns of experts.
sources of error in searching
Kundel et al. [15] put forward that there were three categories of error for false negative reports, based on how long they are dwelled on or fixated upon. This study tracked the eye movements of four observers searching a set of 60 chest radiographic images, 24 normal and 36 abnormal, for the presence of pulmonary nodules. Error rates, scanning patterns and the dwell time of fixation clusters on normal and nodule-containing areas of the film were studied. Errors were categorised as follows:
- Search error or sampling error is where the observer never fixates the lesion with high resolution foveal vision and thus can- not begin to process the information. Visual attention is given to a particular area by repeated fixations in that area, grouping together in what is known as a fixation cluster. Maps of fixation clusters have shown that they are unevenly distributed over a chest image. It is estimated that it takes approximately eighteen fixation clusters to adequately sample the area of a chest radiograph [16].
- Recognition error is where an abnormality is fixated upon but not reported. Looking at a target does not guarantee that it will be recognised. It has been shown that fixating upon a region for one third of a second is sufficient for a negative decision, but a deeply embedded target can require a cluster of fixations lasting up to three seconds [17].
- Decision-making error is where camouflaged objects are detected, but the viewer decides that they are normal variants rather than the target. These errors are relatively easy to identify in the eye-movement record because there is an increase in the number of fixations clustering on the target site caused by the increased visual scrutiny. This is the most prevalent type of error [15].
Studies focused upon lung nodule detection have shown that 10% of misses were due to search error, 30% were due to recognition error, and 60% were due to decision making error [18].
In the case of multiple nodules, a further important source of error is “satisfaction of search”. This is where one abnormality interferes with the detection of other abnormalities in the same radiograph. It is possible that detected abnormalities distract the reader from identifying other abnormalities, or that the detection of an abnormality causes an early halt of a search.
Samuel et al. [1] reported that indeed nodule detectability was lower on native abnormality-containing images than it was on normal images. They also concluded that it was due to both of the aforementioned factors. This finding was replicated by Ashman et al. [19] when examining the effect of multiple abnormalities on detection of nodules in skeletal radiographs. Thirteen orthopaedic surgery residents were shown in random order 15 cases in which one abnormality was present and 15 cases in which either two or three abnormalities were present. Where two or more abnormalities were present, there was a statistically significant decrease in detection rates.
dwell time of missed nodules
Figure 2: Mean dwell time for nodules fixated and missed. Image reproduced with permission from Manning et al. (21)
There are characteristic search patterns that result in higher success rates. The amount of dwell time an observer spends fixating on a potential target can be instructive. It has been put forward that 0.9 seconds dwell time at a location is the minimum period required for detection of an abnormality to occur [20]. Manning et al. [21] showed that with radiologists, confidence scores on positive decisions correlated well with fixation time. This study also showed that nodules that were missed were fixated on average for less than half the time of detected nodules (Figure 2).
visual search patterns of experts
Along with the time spent fixating on a potential targets, expert observers are also known to adopt different search strategies to novices. Kundel and LaFollette [22] reported on the visual search patterns of consultant radiologists compared to that of radiology trainees and suggest that trainees use a “forward reasoning” strategy whereby all clinical features are examined in one view before proceeding to the next. This behaviour entails the use of a “mental protocol” in which a list of features are checked and ruled in or out. This is in contrast to experts who are better at gathering information from the initial holistic representation, effectively taking a global view of the image before proceeding. These search strategies are more efficient and less time is devoted to fixating non-informative areas of the image [23]. Cave and Batty [24] suggested that this may be due to the experts’ utilisation of information at the pre-attentive stage. This stage involves the subconscious accumulation of information from the environment. This is supported by Taylor [25] who concludes that it is this collection of information from the pre-attentive stage, rather than in the assessment of the features present in the image, that gives the expert the advantage.
Gunderman et al. [26] put forward that although radiology experts can point out and name more anatomical features than the novice, what really sets them apart is their ability to integrate structures into three-dimensional maps. These maps provide information more relevant to the diagnostic decision. In theory this would result in the novices looking almost indiscriminately at all image features whereas the experts' conceptual knowledge guides them to key features. It is possible, therefore, that with a reduced ability to holistically gather information from an image, and with less knowledge of the pertinent features, novice observers may be more susceptible to influence from clinical information.
summary
Research investigation of everyday clinical practice reported that the diagnosis 'lung cancer' was not made on the chest radiograph initially in one-fifth of the cases, even though in retrospect the lesions had been visible [27]. It is thus clear that there is scope for a methodical approach to improve the success of radiographic image interpretation. Clinical information and the search pattern employed by the reader are both significant predictors of success in detection of abnormalities in radiographic images.
Generally, the provision of clinical information has resulted in higher detection rates, however this must be looked at in the possible context of a concomitant increase in false positives. An initial blind read, followed by a reading of the history is one solution put forward [28]. However, it would seem that the consequences of a missed abnormality are sufficiently consequential to justify the current practice of reading radiographs with the clinical information present.
Studies have elucidated the points at which detection failures occur in the visual search of radiographs. This can be at the stage of searching the image, recognising abnormalities, or deciding whether these abnormalities represent pathologies. Analysis of this kind can guide our intervention to the appropriate part of the search algorithm to minimise failures. Analysing the search patterns of experts, the importance of the pre-attentive stage and three-dimensional mental schemas become apparent. The causes of failure and success are particularly relevant to radiology trainees in particular, medical trainees in general and those responsible for radiographic image interpretation education. The increased awareness of educators has the potential to enhance teaching with the inclusion of search pattern models to improve reader success and accurate diagnosis.
These findings have implications for both the practice of reading radiographic images and also for radiological education. Further studies are needed to examine the interaction between clinical information and visual search patterns, in particular with a focus upon the impact of providing clinical information at different stages in the image search process, whilst the current evidence-base provides a baseline framework for strategies which increase detection of abnormalities on radiographic images.
ACKNOWLEDGEMENTS
The author would like to thank Dr. Mark McEntee, formerly of UCD and now at the University of Sydney, for his guidance during a research project on the subject matter around which this literature review was written.
References
1. Samuel S, Kundel HL, Nodine CF, Toto LC. Mechanism of satisfaction of search: eye position recordings in the reading of chest radiographs. Radiology. 1995;194:895-902
2. Turkinton PM, Kennan N, Greenstone MA. Misinterpretation of the chest x-ray as a factor in delayed diagnosis of lung cancer. Postgrad Med J. 2002;78:158–60
3. Croswell JM, Baker SG, Marcus PM, Clapp JD, Kramer BS. Cumulative incidence of false-positive test results in lung cancer screening: a randomized trial. Ann Intern Med. 2010;152:505- 512
4. Schreiber MH. The clinical history as a factor in roentgenogram interpretation. JAMA. 1963;185:399-401
5. Potchen EJ, Gend JW, Lazam P, Andany M. The effect of clinical history data on chest film interpretation: direction or distraction. Invest Radiol. 1979;14:404
6. Rickett AB, Finlay DB, Jagger C. The importance of clinical details when reporting accident and emergency radiographs. Injury. 1992;23:458-60
7. Filippone A, Cianci R, Iezzi R, Legnini M, Storto ML. Effect of clinical history in focal liver lesion detection and classification on 4-detector row computed tomography and gadoxetic acid enhanced MR imaging in oncologic patients. J Comput Assist Tomogr. 2009;33:851-857
8. Ehara S, Katsuragawa S. Influence of clinical information on the detection of wrist fractures in children. Tohoku J Exp Med. 1999;189:147-153
9. Houssami N, Irwig L, Simpson JM, McKessar M, Blome S, Noakes J. The influence of clinical information on the accuracy of diagnostic mammography. Breast Cancer Res Treat. 2004;85:223-228
10. Doubilet P, Herman PG. Interpretation of radiographs: effects of clinical history. AJR. 1981;137:1055-1058
11. Cooperstein LA, Good BC, Eelkema EA, Sumkin JH, Tabor EK, Sidorovich K, et al. The effect of clinical history on chest radiograph interpretations in a PACS environment. Invest. Radiol. 1990;25:670-674
12. Good BC, Cooperstein LA, Demarino GB, Miketic LM, Gennan RC, Rockette HE, et al. Does knowledge of the clinical history affect the accuracy of chest radiograph interpretation? Am J Roentgenol. 1990;154: 709-712
13. Manning M, Ethella S, Donovana T, Crawford, T. How do radiologists do it? The influence of experience and training on searching for chest nodules. Radiography. 2006;12:134-142
14. Nodine CF, Kundel HL. Using eye movements to study visual search and to improve tumor detection. Radiographics. 1987;7:1241-1250
15. Kundel HL, Nodine CF, Carmody DP. Visual scanning, pattern recognition and decision-making in pulmonary tumor detection. Invest Radiol. 1978;13:175-181
16. Nodine CF, Kundel HL. The cognitive side of visual search in radiology. In: O’Regan JK, Levy-Shcoen A, editors. Eye move- ment: From physiology to cognition. Amsterdam: Elsevier; 1987. p. 573-582
17. Kundel HL, Nodine CF. Studies of eye movements and visual search in radiology. In: Senders JW, Fisher DF, Monly RA, editors. Eye movements and the higher psychological functions. New Jersey: Erlbaum; 1978
18. Kundel HL, Nodine CF. Interpreting chest radiographs without visual search. Radiology. 1975;116:527-532
19. Ashman CJ, Yu JS, Wolfman D. Satisfaction of search in osteoradiology. AJR Am J Roentgenol. 2000;175:541-544
20. Nodine C, Kundel H. A visual dwell algorithm can aid search and recognition of missed lung nodules in chest radiographs. In: Brogan D, editor. Visual search. London: Taylor Francis; 1990. p. 399–405
21. Manning DJ, Ethell SC, Donovan T. Detection or decision errors? Missed lung cancer from the posteroanterior chest radiograph. British Journal of Radiology. 2004;77:231-235
22. Kundel HL, LaFollette PS. Visual search patterns and experience with radiological images. Radiology. 1972;103:523-528
23. Krupinski EA. Visual scanning patterns of radiologists searching mammograms. Acada Radiol. 1996;3:137-144
24. Cave KR, Batty MJ. From searching for features to searching for threat: drawing the boundary between pre-attentive and attentive vision. Visual Cognition. 2006;14:629-646
25. Taylor PM. A review of research into the development of radiologic expertise: implications for computer-based training. Acada Radiol. 2007;14:1252-1263
26. Gunderman K, Williamson R, Fraley R, Steele J. Expertise: implications for radiological education. Acad Radiol. 2001;8:1252–1256
27. Quekel LG, Goei R, Kessels AG, Van Engelshoven JM. The limited detection of lung cancer on chest X-rays. Ned Tijdschr Geneeskd. 2003;147:1048-1056
28. Griscom NT. A Suggestion: Look at the Images First, Before You Read the History. Radiology. 2002; 223:9-10
